Recell Ice เทคโนโลยี Micro-Needle RF
รักษาหลุมสิว ริ้วรอย เผยผิวเรียบเนียน



Recell Ice เทคโนโลยี Micro-Needle RF รักษาหลุมสิว ริ้วรอย เผยผิวเรียบเนียน
Recell Ice กระตุ้นการสร้างคอลลาเจน อิลาสติน ด้วย Micro-Needle RF พร้อมระบบ Vacuum ควบคุมความลึก และ Cryo Handpiece ลดการระคายเคืองระหว่างการรักษา ฟื้นฟูผิวอย่างมีประสิทธิภาพ
Recell Ice เทคโนโลยี Fractional ที่ไม่เพียงแค่ผลัดเซลล์ผิว แต่สามารถกระตุ้นได้ มากกว่าถึงชั้นในด้วย Micro-Needle RF ที่ส่งพลังลงสู่ผิวโดยตรงด้วยเข็มขนาดเล็กเพียง 250 ไมครอน พร้อมปล่อยพลังงานคลื่นวิทยุเพื่อไปกระตุ้นการสร้างคอลลาเจน อิลาสติน และจัดเรียงโครงสร้างใหม่ที่แข็งแรง
เหมาะสำหรับรักษาหลุมสิว รูขุมขนกว้าง ริ้วรอย และจุดด่างดำอย่างมีประสิทธิภาพ พร้อมระบบ Vacuum ควบคุมความลึกของเข็มได้อย่างแม่นยำ กระจายพลัังงานอย่างสม่ำเสมอทุก pin เข็ม และ Cryo Handpiece ช่วยลดความเจ็บปวด การบวมแดง และปลอบประโลมผิวจากขั้นตอนการรักษา ครบจบทุกขั้นตอนในเครื่องเดียว


เทคโนโลยีสูญญากาศ
ใช้เเรงดูด (Vacuum) กำหนดความลึกของเข็มได้อย่างแม่นยำ 
กระจายพลังงานอย่างสม่ำเสมอทุก Pin เข็ม
เพิ่มประสิทธิภาพการกระตุ้น และฟื้นฟูผิว
การปรับหัวเข็ม
สามารถปรับความลึกของเข็มได้
ละเอียดถึง 0.1 มม. (ความลึก 0.5-3.5 มม.) และแม่นยำ
Microneedle ชนิด Insulated (มีฉนวนหุ้ม) และ Non Insulated (ไม่มีฉนวนหุ้ม) 
แตกต่างกันตรงการปล่อยพลังงาน และลักษณะของบาดแผลหรือผิวชั้นบน 
Microneedle ชนิด Insulated (มีฉนวนหุ้ม) และ Non Insulated (ไม่มีฉนวนหุ้ม) แตกต่างกันตรงการปล่อยพลังงาน และลักษณะของบาดแผลหรือผิวชั้นบน

คือเข็มชนิดที่มีฉนวนหุ้มแท่งเข็มไว้ยกเว้นบริเวณปลายเข็ม ดังนั้นจุดที่ปล่อยพลังงานคลื่นวิทยุ (RF) จึงมีเพียงส่วนปลายที่อยู่ในสุดของผิวเท่านั้น โดยผิวชั้นบนจะไม่ได้รับความบาดเจ็บจากความร้อน เหมาะสำหรับการกระตุ้นในชั้นลึก ริ้วรอย หลุมสิว หรือผู้ที่ผิวแห้ง ผิวบอบบางแพ้ง่าย การยกกระชับ และสลายไขมันที่ต้องการปล่อยพลังงานสูงในชั้นลึก
คือเข็มชนิดที่ไม่มีฉนวนหุ้ม ดังนั้นเมื่อเข็มเข้าไปในผิว พลังงานคลื่นวิทยุ (RF) ที่ปล่อยออกไปจะแผ่ไปทั้งแท่งเข็มตามความลึกที่กำหนด ทำให้ผิวได้รับการกระตุ้นทั้งชั้นในและชั้นนอก ให้ผลในการรักษาได้ดี แก้ปัญหาผิวในทุกชั้น ตั้งแต่จุดด่างดำ รูขุมขน ผิวมัน ริ้วรอย และหลุมสิว แต่อาจมีความบาดเจ็บ หรือรอยแดงต่อผิวชั้นนอกมากกว่า

สำหรับสภาพผิวและบริเวณการรักษาต่าง ๆ



Authorized Representative of
Recell Ice
บริษัท อินโนเอสเธติคส์ เลเซอร์ 
ผู้นำเข้าผลิตภัณฑ์ Recell Ice อย่างถูกต้อง 
มีมาตรฐานรองรับ และมีอะไหล่แท้คอยบริการ


คุณภาพผลลัพธ์ชัดเจน ผ่านเคสรีวิว พร้อมข้อมูลการสอบเทียบเครื่อง
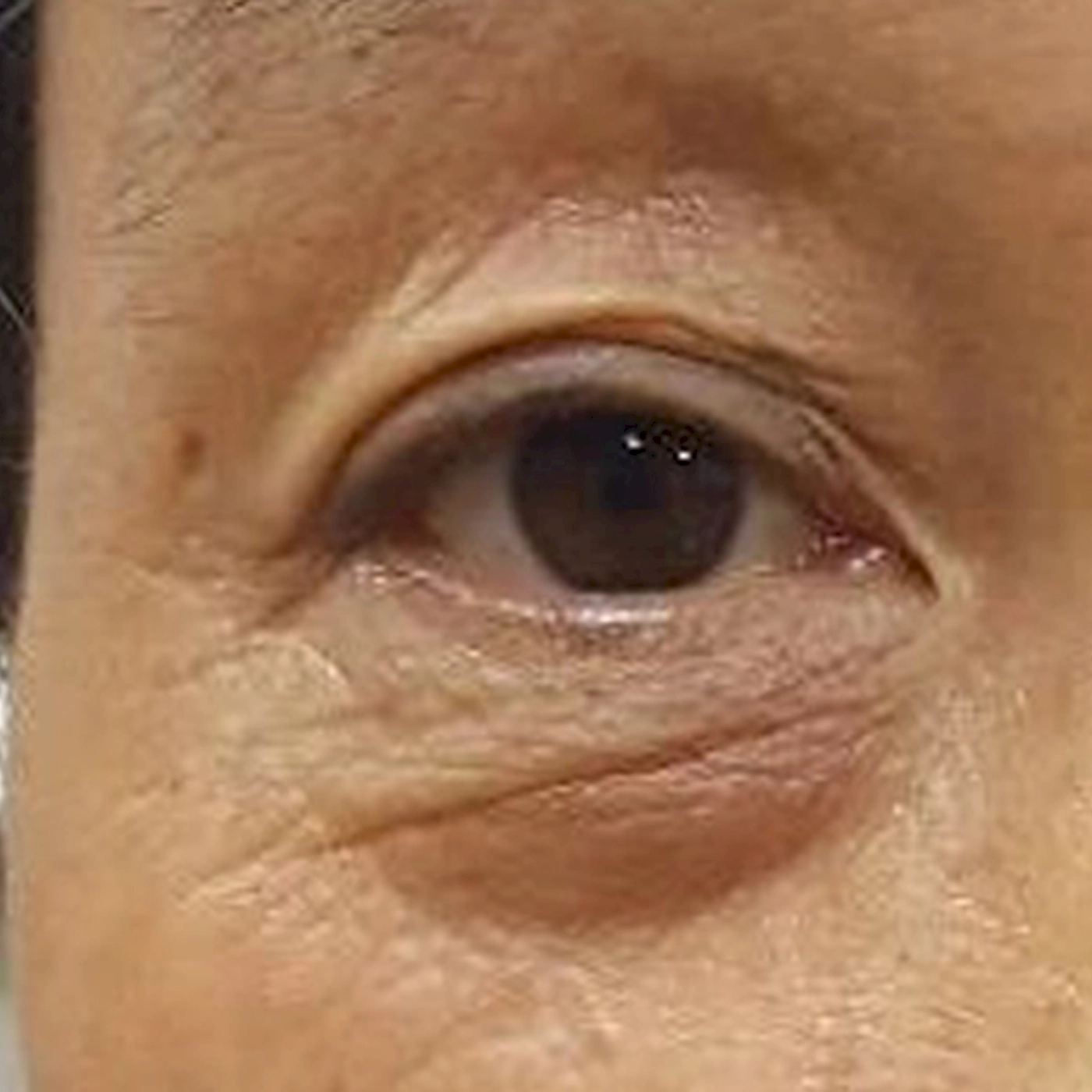
เคสยกกระชับ

BEFORE

AFTER
เคสยกกระชับ

BEFORE

AFTER
เคสยกกระชับ

BEFORE

AFTER